Loading...

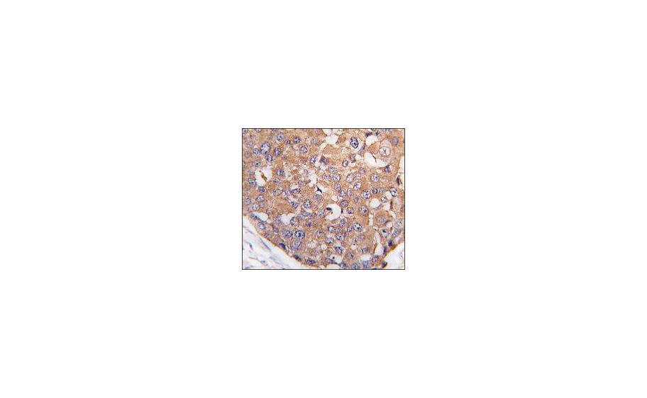
Anti-SNK (C-term) antibody produced in rabbitIgG fraction of antiserum, buffered aqueous solution

100UG / EA
Lead Time
10 Day(s)
SKU
SIGSAB1300018-100UG-EA
MFRPN
SAB1300018
ANTI-SNK (C-TERM)
Anti-SNK (C-term) antibody produced in rabbitIgG fraction of antiserum, buffered aqueous solution
More Information
Manufacturer Sigma-Aldrich
MFRPN SAB1300018
Lead Time 10 Day(s)
UNSPSC Code 12000000
Write Your Own Review
You're reviewing:Anti-SNK (C-term) antibody produced in rabbitIgG fraction of antiserum, buffered aqueous solution
Your Rating
Copyright 2023. Scientific Sales, Inc.