Need Help?
800-229-7252
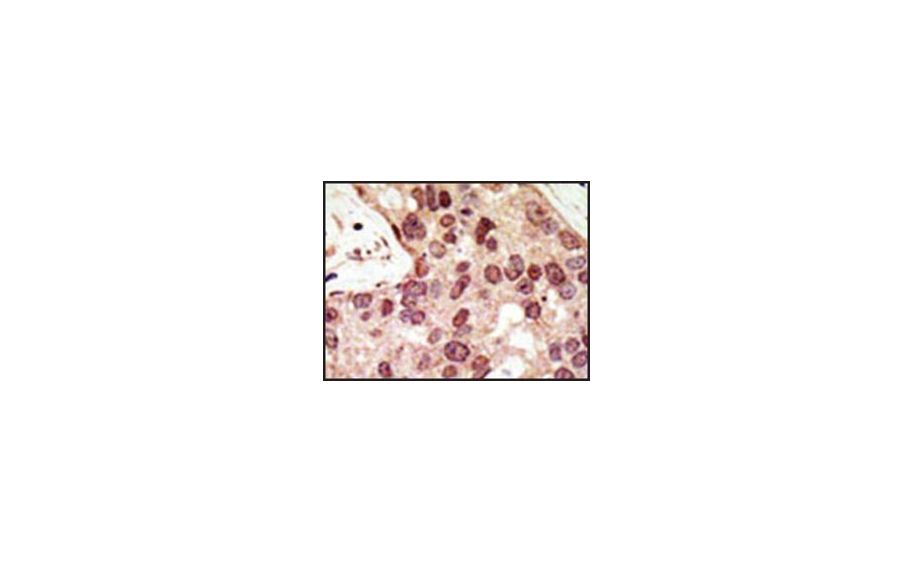
Anti-PRDM9 (C-term) antibody produced in rabbitIgG fraction of antiserum, buffered aqueous solution
100UG
/
EA
Lead Time
10 Day(s)
SKU
SIGSAB1300161-100UG-EA
MFRPN
SAB1300161
ANTI-PRDM9 (C-TERM)
Anti-PRDM9 (C-term) antibody produced in rabbitIgG fraction of antiserum, buffered aqueous solution
| Manufacturer | Sigma-Aldrich |
|---|---|
| MFRPN | SAB1300161 |
| Lead Time | 10 Day(s) |
| UNSPSC Code | 12000000 |
Write Your Own Review











