Need Help?
800-229-7252
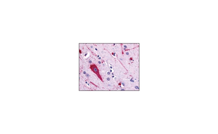
Anti-HTR5A (AB2) antibody produced in rabbitaffinity isolated antibody, buffered aqueous solution
50UG
/
EA
Lead Time
10 Day(s)
SKU
SIGSAB2900037-50UG-EA
MFRPN
SAB2900037
ANTI-HTR5A (AB2)
Anti-HTR5A (AB2) antibody produced in rabbitaffinity isolated antibody, buffered aqueous solution
| Manufacturer | Sigma-Aldrich |
|---|---|
| MFRPN | SAB2900037 |
| Lead Time | 10 Day(s) |
| UNSPSC Code | 12000000 |
Write Your Own Review











