Need Help?
800-229-7252
AKT PHOSPHO T308 AB 50UG
1
/
EA
Lead Time
12 Day(s)
SKU
VWRRL200306269-EA
MFRPN
200-306-269
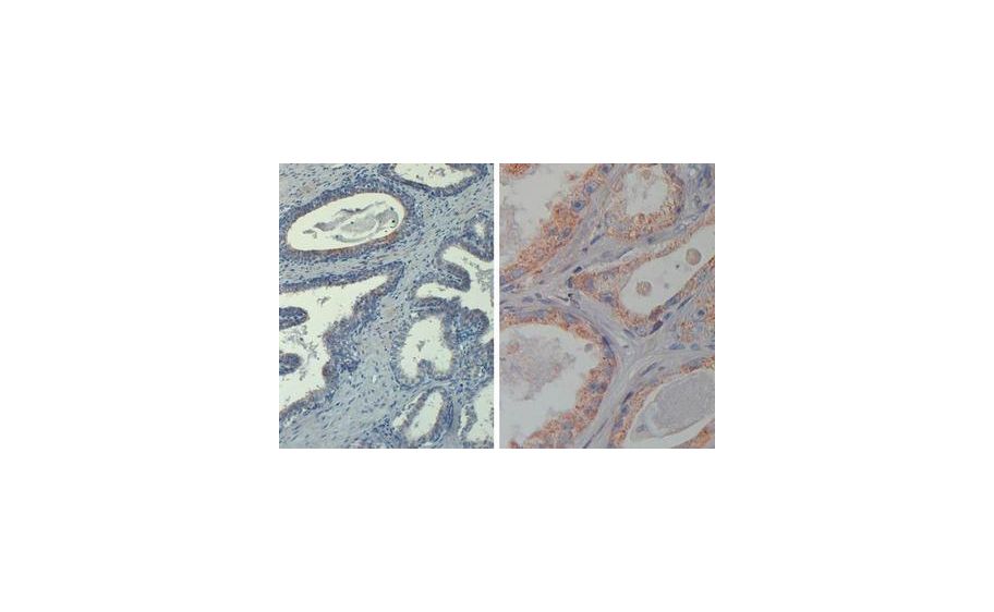
AKT PHOSPHO T308 AB 50UG Anti-AKT phospho T308 is ideal for western blotting, ELISA, IHC and IP. Phospho AKT pT308 antibody is specific for AKT protein phosphorylated at T308. AKT is a component of the PI-3 kinase pathway and is activated by phosphorylation at Ser 473 and Thr 308.
| Manufacturer | Rockland Immunochemicals |
|---|---|
| MFRPN | 200-306-269 |
| Lead Time | 12 Day(s) |
| UNSPSC Code | 12000000 |
Write Your Own Review











